сегодня
22 апреля, 21:04
пробки
3/10
курсы валют
usd 76.05 | eur 89.62
сегодня
22 апреля, 21:04
пробки
3/10
курсы валют
usd 76.05 | eur 89.62

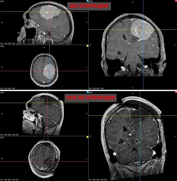
Врачи из Новосибирска спасли пациента с гигантской опухолью мозга

Фото: Сиб.фм / НМИЦ им. ак. Е.Н. Мешалкина Минздрава России

В Новосибирске врачи провели сложную операцию 35-летнему пациенту и удалили гигантскую опухоль головного мозга. Об этом сообщили в НМИЦ имени Мешалкина Минздрава России.

Проблемы у мужчины начались в ноябре прошлого года. Появилась слабость в правой руке и нарушения речи. Обследование показало наличие менингиомы более восьми сантиметров в левом полушарии мозга. Состояние постепенно ухудшалось, и к концу года двигательные функции значительно снизились.

В январе перед плановой операцией врачи выявили тромбоэмболию лёгочной артерии. Из-за высокого риска осложнений от хирургического вмешательства сначала отказались. Тем временем симптомы усиливались: появились судорожные приступы и потеря сознания.

Ситуацию удалось стабилизировать благодаря специалистам НМИЦ Мешалкина. Консилиум врачей принял решение о проведении операции с учётом кардиологических рисков. Пациента доставили в центр под наблюдением врачей, и уже через два дня ему выполнили вмешательство.

Операция длилась около пяти часов и завершилась успешно — опухоль удалили полностью. Восстановление пошло быстро: уже на следующий день появились движения в руке, а через две недели пациент смог снова самостоятельно ходить. Речь и двигательные функции восстановились, а приступы прекратились.

Загрузка...