сегодня
18 февраля, 13:00
пробки
5/10
курсы валют
usd 76.73 | eur 90.86
сегодня
18 февраля, 13:00
пробки
5/10
курсы валют
usd 76.73 | eur 90.86

В Новосибирске 81-летней пенсионерке удалили опухоль мозга после того, как её нашли на полу с судорогами

Новосибирский НИИТО им. Я. Л. Цивьяна Читайте на WWW.NSK.KP.RU: https://www.nsk.kp.ru/daily/27762/5211157/

Татьяна Химич, бывший врач-фтизиатр из Новосибирска, перенесла сложную операцию по удалению новообразования в головном мозге. Об этом сообщили в пресс-службе Новосибирского НИИТО им. Я. Л. Цивьяна.

В декабре 2025 года, незадолго до дня рождения, у 81-летней женщины резко упало зрение, появились слабость и онемение в конечностях. Однажды супруг нашёл её на полу — у Татьяны Иосифовны случились судороги, речь стала невнятной. Её экстренно госпитализировали в сосудистый центр.

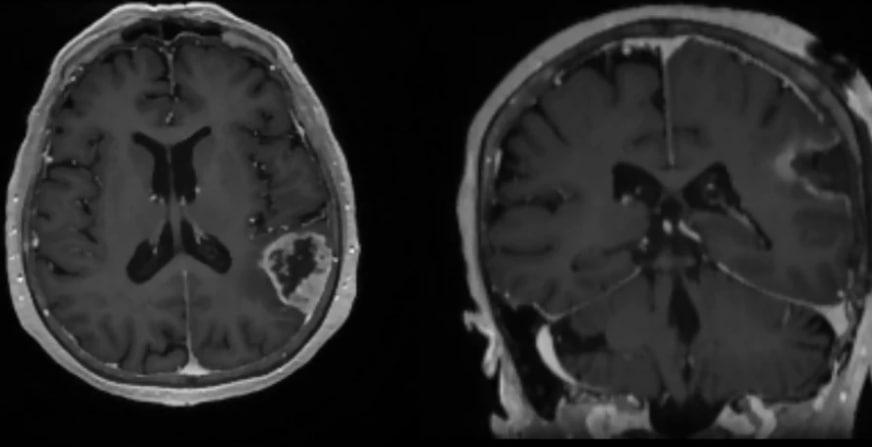
После курса лечения состояние улучшилось: пенсионерка вернулась к домашним делам, готовила, убирала. Но вскоре начала заикаться. Обследования, включая МСКТ и МРТ, выявили объёмное образование в левой теменной доле. Опухоль размером 3×4×5 сантиметров оказалась причиной ухудшения самочувствия.

Сначала женщина сомневалась, стоит ли ложиться под нож, но всё же решилась на операцию. В феврале 2026 года её прооперировали в НИИТО. Новообразование удалили полностью под нейронавигационным контролем и отправили на гистологию.

Врач-анестезиолог-реаниматолог Сергей Волков пояснил, что у пожилых пациентов организм хуже восстанавливается, лекарства могут действовать иначе, поэтому каждое вмешательство требует особого контроля.

Сейчас пациентка выписана в удовлетворительном состоянии. Дальнейшее лечение будет зависеть от результатов гистологии. Татьяна Иосифовна признаётся, что глобальных планов не строит — хочет просто вернуться к внукам, готовить и радоваться жизни.

«Мне достался шанс. И я этим шансом воспользовалась, а там будь что будет», — говорит пенсионерка.

Загрузка...