сегодня
18 февраля, 23:10
пробки
2/10
курсы валют
usd 76.15 | eur 90.26
сегодня
18 февраля, 23:10
пробки
2/10
курсы валют
usd 76.15 | eur 90.26

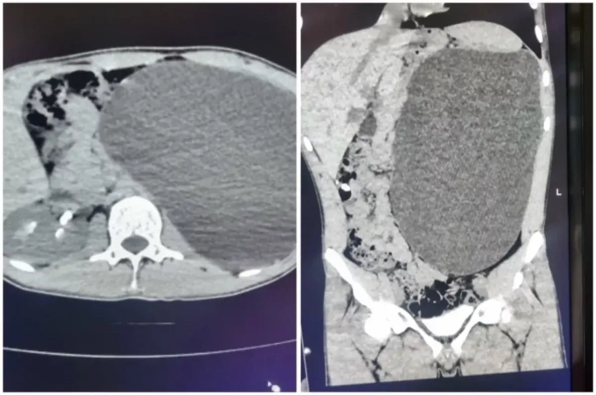
В Новосибирске подростку удалили почку размером с пятилитровую бутылку

Фото: Сиб.фм / Министерство здравоохранения Новосибирской области

В Новосибирске подростку 17 лет удалили воспалённую почку, которая увеличилась до размеров пятилитровой бутылки. Об этом пишет «АиФ-Новосибирск».

Парень, Михаил (имя изменено), узнал о проблеме случайно во время планового профосмотра перед трудоустройством. УЗИ выявило патологию, и юношу срочно госпитализировали в Детскую городскую клиническую больницу №1.

Детский хирург-уролог Ирина Живолуп диагностировала гидронефроз — расширение полостной системы почки из-за нарушенного оттока мочи. Болезнь протекала бессимптомно, но могла привести к серьёзным осложнениям, включая разрыв почки и внутрибрюшное кровотечение.

Операция прошла через небольшие проколы: орган и скопившуюся жидкость удалили, предотвратив опасные последствия. Несмотря на тяжесть ситуации, родители дали согласие на вмешательство после разъяснений врачей. Сейчас Михаил восстанавливается и вскоре сможет вернуться к обычной жизни. Медики отмечают, что жизнь с одной почкой возможна, так как второй орган полностью берёт на себя функции.

Специалисты подчёркивают, что гидронефроз не возникает самостоятельно. Он развивается как осложнение других патологий мочевыводящей системы или врождённых аномалий, а также вследствие воспалений, операций, камней или опухолей. Полностью предугадать болезнь невозможно, поэтому важно регулярно проверять здоровье.

Загрузка...